If the cells you would like to access are currently listed as unavailable or
you would like information on local partners in USA, Australia, New Zealand or Japan who can support order and delivery,
please get in touch via
Contact@EBiSC.org.
BIONi010-C-72
Gene-edited iPSC line
You will need to complete a Cell Line Information Pack (CLIP) before purchasing your cell line.
Please contact us to receive the relevant document.
The EBiSC Access and Use Agreement must be completed along with an individual
Cell Line Information Pack for each line. Complete the EAUA and send to Contact@EBiSC.org
for countersignature. The EAUA must be fully signed before proceeding with your order.
To receive the Certificate of Analysis, please contact us.
A batch specific Certificate of Analysis will be available to
download once you receive your EBiSC iPSC line.
General#
Cell Line |
|
| hPSCreg name | BIONi010-C-72 |
| Cell line type | Human induced pluripotent stem cell (hiPSC) |
| Similar lines |
BIONi010-C (BIONi010-C, K3P53) BIONi010-C-25 (BIONi010-C heterozygous TREM2 KO) BIONi010-C-2 (BIONi010-C ApoE E3/E3 #H8 P32) BIONi010-C-3 (BIONi010-C ApoE KO #KO30 P30) BIONi010-C-70 (BIONi010-C with an APOE 2/2 genotype with an additional, homozygous christchurch mutation) BIONi010-C-71 (BIONi010-C with an APOE 3/3 genotype with an additional, homozygous christchurch mutation) BIONi010-C-4 (BIONi010-C ApoE E4/E4 #B44 P27) BIONi010-C-5 (BIONi010-C CD33 E2del #N14 P26) BIONi010-C-6 (BIONi010-C ApoE E2/E2) BIONi010-C-7 (BIONi010-C Trem2 R47H) BIONi010-C-8 (BIONi010-C Trem2 T66M, #Y5-80) BIONi010-C-9 (BIONi010-C CD33 KO) BIONi010-C-17 (BIONi010-C TREM2 KO) BIONi010-C-18 (BIONi010-C TBK1 KO) BIONi010-C-19 (BIONi010-C IKBKE KO) BIONi010-C-43 (BIONi010-C + aSNCA-wt AAVS1) BIONi010-C-44 (BIONi010-C + aSNCA-A53T AAVS1) BIONi010-C-52 (BIONi010-C with an APOE 2/2 genotype (with two functional alleles in contrast to BIONi010-C-6)) BIONi010-C-53 (BIONi010-C with an APOE 3/3 genotype (with two functional alleles in contrast to BIONi010-C-2)) BIONi010-C-54 (BIONi010-C with an APOE 4/4 genotype (with two functional alleles in contrast to BIONi010-C-4)) BIONi010-C-45 (BIONi010-C iCRE AAVS1 GBA1 LoxP EX5-6) BIONi010-C-13 (BIONi010-C + NGN2 #I7-26) BIONi010-C-15 (BIONi010-C +dox inducible NGN2-GFP) BIONi010-C-55 (BIONi010-C TNNI3-mCherry/TNNI1-EGFP dual reporter cl. 74) BIONi010-C-42 (BIONi010-C + iCRE AAVS1) BIONi010-C-49 (BIONi010-C + synapsin-m2rtTA + SNCA-wt) BIONi010-C-50 (BIONi010-C + synapsin-m2rtTA + SNCA-A53T) BIONi010-C-24 (BIONi010-C Dox a-syn) BIONi010-C-10 (HNF1AP291fsinsC +/- 54-5) BIONi010-C-11 (HNF1AP291fsinsC -/- 66-1) BIONi010-C-12 (HNF4ApR309C -/- 2-4) BIONi010-C-51 (BIONi010-C TNNI3-mCherry reporter) BIONi010-A (K1P53) BIONi010-B (K2P53, BIONi010-B) |
| Notes | The line has an APOE 4/4 genotype with an additional, homozygous christchurch mutation |
Provider |
|
| Depositor | Bioneer (BION) |
| Owner | Bioneer (BION) |
| Distributors |
EBiSC
|
| Derivation country | Denmark |
External Databases |
|
| hPSCreg | BIONi010-C-72 |
| BioSamples | SAMEA115162597 |
| Cellosaurus | CVCL_D6RU |
General Information |
|
| Publications | View all related publications on hPSCreg (1) |
| This EBiSC line can be used for: |
Yes
Research use: allowed
Clinical use: no
Commercial use: no
|
| Subclone of | |
Genetic Modification#
| Disease/phenotype related modifications |
|
Donor Information#
General Donor Information |
|
| Sex | male |
| Ethnicity | Black or African-American |
Phenotype and Disease related information (Donor) |
|
| Diseases | No disease was diagnosed.
|
Other Genotyping (Donor) |
|
| Is there genome-wide genotyping or functional data available? |
No
|
Donor Relations |
|
| Other cell lines of this donor | |
External Databases (Donor) |
|
| BioSamples | SAMEA3105780 |
hIPSC Derivation#
General |
|
|
The source cell information can be found in the parental cell line
BIONi010-C.
|
|
| Passage number reprogrammed | 32 |
Reprogramming method |
|
| Vector type | Non-integrating |
| Vector | Episomal |
| Methods used |
PCR
|
Vector free reprogramming |
|
Other |
|
| Derived under xeno-free conditions |
Unknown |
| Derived under GMP? |
Unknown |
| Available as clinical grade? |
Unknown |
Culture Conditions#
The following are the depositor culture conditions, they do not refer to any specific batch.
| Medium |
mTeSR™ Plus
|
Characterisation#
Analysis of Undifferentiated Cells
| Marker | Expressed | Immunostaining | RT-PCR | Flow Cytometry | Enzymatic Assay | Expression Profiles |
| POU5F1 (OCT-4) |
Yes |
|||||
| SOX2 |
Yes |
|
||||
| TRA 1-81 |
Yes |
|
||||
| SSEA-1 |
No |
|
||||
| SSEA-4 |
Yes |
|
Differentiation Potency
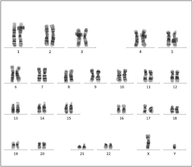
Genotyping#
Karyotyping (Cell Line) |
|
| Has the cell line karyotype been analysed? |
Yes
|
Other Genotyping (Cell Line) |
|
