If the cells you would like to access are currently listed as unavailable or
you would like information on local partners in USA, Australia, New Zealand or Japan who can support order and delivery,
please get in touch via
Contact@EBiSC.org.
YUi005-A
ASmut4, WD1374 #1
iPSC line
A CLIP contains information about a cell line including any
specific third party obligations relating to, for example,
licensing obligations or the donor consent which affect the
use of the cell line.
The EBiSC Access and Use Agreement must be completed along with an individual
Cell Line Information Pack for each line. Complete the EAUA and send to Contact@EBiSC.org
for countersignature. The EAUA must be fully signed before proceeding with your order.
A batch specific Certificate of Analysis will be available to
download once you receive your EBiSC iPSC line.
General#
Cell Line |
|
| hPSCreg name | YUi005-A |
| Alternative name(s) |
ASmut4, WD1374 #1
|
| Cell line type | Human induced pluripotent stem cell (hiPSC) |
| Similar lines |
|
Provider |
|
| Depositor | Yale University (YU) |
| Owner | Yale University (YU) |
| Distributors |
EBiSC
|
| Derivation country | United States |
External Databases |
|
| hPSCreg | YUi005-A |
| BioSamples | SAMEA116291574 |
General Information |
|
| This EBiSC line can be used for: |
Yes
Research use: allowed
Clinical use: no
Commercial use: no
|
Donor Information#
General Donor Information |
|
| Sex | female |
| Age of donor (at collection) | 5-9 |
Phenotype and Disease related information (Donor) |
|
| Diseases | A disease was diagnosed.
|
Karyotyping (Donor) |
|
| Has the donor karyotype been analysed? |
No
|
Other Genotyping (Donor) |
|
| Is there genome-wide genotyping or functional data available? |
No
|
External Databases (Donor) |
|
| BioSamples | SAMEA116291575 |
hIPSC Derivation#
General |
|
| Source cell type |
Large, phagocytic mononuclear leukocytes produced in the vertebrate bone marrow and released into the blood; contain a large, oval or somewhat indented nucleus surrounded by voluminous cytoplasm and numerous organelles.
Synonyms
|
| Source cell origin |
Blood that has not been separated into its various components; blood that has not been modified except for the addition of an anticoagulant.
Synonyms
|
| Age of donor (at collection) | 5-9 |
| Passage number reprogrammed | p12 |
Reprogramming method |
|
| Vector type | Non-integrating |
| Vector | Sendai virus |
| Genes | |
| Is reprogramming vector detectable? |
No |
| Methods used |
RT-PCR
|
| Notes on reprogramming vector detection | silenced |
Vector free reprogramming |
|
Other |
|
| Selection criteria for clones | morphology |
| Derived under xeno-free conditions |
No |
| Derived under GMP? |
No |
| Available as clinical grade? |
No |
Culture Conditions#
Latest released batch |
|
| Culture medium | mTeSR-1 |
| Passage method | EDTA |
| Surface coating | Matrigel |
| O2 concentration | 21 |
| CO2 concentration | 5 |
| Temperature | 37°C |
The following are the depositor culture conditions, they do not refer to any specific batch.
| Surface coating | Matrigel/Geltrex |
| Feeder cells |
No |
| Passage method |
Enzymatically
Dispase
|
| O2 Concentration | 20 % |
| CO2 Concentration | 5 % |
| Medium |
mTeSR™ 1
|
| Has Rock inhibitor (Y27632) been used at passage previously with this cell line? | No |
| Has Rock inhibitor (Y27632) been used at cryo previously with this cell line? | No |
| Has Rock inhibitor (Y27632) been used at thaw previously with this cell line? | No |
Characterisation#
Analysis of Undifferentiated Cells
| Marker | Expressed | Immunostaining | RT-PCR | Flow Cytometry | Enzymatic Assay | Expression Profiles |
| POU5F1 (OCT-4) |
Yes |
|
||||
| NANOG |
Yes |
|
||||
| TRA 1-60 |
Yes |
|
||||
| SSEA-4 |
Yes |
|
||||
| POU5F1 (OCT-4) |
Yes |
|||||
| SSEA-1 |
Yes |
|||||
| SSEA-4 |
Yes |
|||||
| TRA 1-60 |
Yes |
qPCR if endogenous pluripotent marks; OCT4, SOX2, KLF4, and c-MYC
Teratoma assay
Immunofluorescence staining of OCT4, NANOG, Tra-1-60, SSEA-4
Method documentation
Differentiation Potency
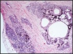
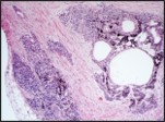
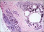
In vivo teratoma
In vitro directed differentiation
In vivo teratoma
In vitro directed differentiation
In vivo teratoma
In vitro directed differentiation
Microbiology / Virus Screening |
|
| HIV 1 | Negative |
| HIV 2 | Negative |
| Hepatitis B | Negative |
| Hepatitis C | Negative |
| Mycoplasma | Negative |
Sterility |
|
| Inoculation for microbiological growth | No Contaminants Detected |
| Mycoplasma | Not Detected |
| Viability | Viable post-cryopreservation |
Genotyping#
Karyotyping (Cell Line) |
|
| Has the cell line karyotype been analysed? |
Yes
46,XX
Passage number: p12
Karyotyping method:
Array CGH
|
Other Genotyping (Cell Line) |
|



